
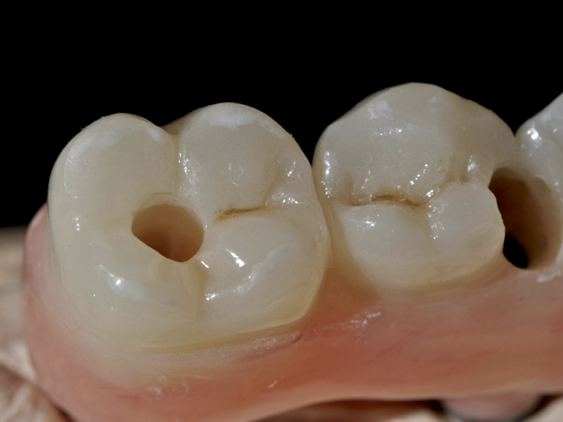
La protesi dentale provvisoria è il dispositivo che viene inserito nell’ intervallo di tempo tra la preparazione degli elementi dentali, le cure richieste, eventuali impianti e l’ applicazione del restauro finale.
Spesso si sottovaluta il ruolo di questo dispositivo, pensando che si tratti semplicemente di un restauro temporaneo o addirittura un costoso optional che in alcuni casi può essere evitato.
Nella visione del laboratorio R.M. Dental è fondamentale eseguire uno studio del caso (che viene simulato con un wax-up sui primi modelli del caso), ogni volta che ci viene richiesta la fornitura di un provvisorio.
In questa fase il tecnico può eseguire modifiche sulla posizione e sulla morfologia dei denti e verificare con il clinico la fattibilità del progetto.
Dopo l’ approvazione del paziente e del clinico il progetto viene trasformato in provvisorio, solo così il risultato finale può essere predicibile in tutte le fasi.
RM Dental s.a.s. di Rovaris Manuel & C.
Via S- Francesco 1/A - frazione Cividino - Castelli Calepio - (BG)
Tel. 338/7775737
P.iva / Cod. Fisc.: 04416720169
Codice univoco: SUBM70N
Privacy Policy -
Cookie Policy